Elysium Dental & Aesthetics Clinic

Modern Dental Care
Starts Here

Advanced treatments, expert dentists, and a comfortable experience designed around your smile.

Dr. Fatima hero portrait
4.9 Rated
Safe Care
Premium Service
Quick Booking

Book Your Appointment

Scroll Down

Comprehensive Dental & Beauty Care Solutions

Explore our complete range of dental treatments and advanced beauty services

17+

Years Experience

Dr. Fatima in clinic

Dental & Aesthetic Specialist You Can Trust

Welcome to the practice of Dr. Fatima Ali Malik, a highly respected dentist and certified aesthetic practitioner with over 17 years of clinical experience. She holds a BDS with Honors and a Master's degree in Endodontics, reflecting her strong academic and professional foundation.

With internationally accredited aesthetic training from the USA and UK, Dr. Fatima offers a unique blend of advanced dentistry and facial aesthetics. Her approach focuses on precision, safety, and natural results, helping patients achieve healthy smiles and refined facial harmony with confidence.

Enhancing Natural Beauty Through Expert Care

Personalized treatments designed to elevate your appearance while preserving authenticity.

Advanced Dental & Aesthetic Excellence

A perfect balance of science, skill, and artistry.

Feel Confident. Look Refreshed.

Professional care that delivers visible, lasting results.

Setting Standards in Oral & Facial Health

Where expertise meets trust.

See The Transformation

Real patients, real results - witness the power of modern dentistry

Before teeth whitening
After teeth whitening

Teeth Whitening

Professional whitening treatment

Before dental veneers
After dental veneers

Dental Veneers

Complete smile makeover

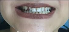
Before orthodontic treatment
After orthodontic treatment

Orthodontics

Invisalign treatment results

Dental Health Tips

Expert advice for maintaining your perfect smile

Follow Us on TikTok

See the latest smile transformations, tips, and behind-the-scenes moments.

What Our Patients Say

Real experiences from our valued patients

Had an amazing experience at Elysium Dental & Aesthetics Clinic. Dr. Fatima is superb in her field. Her staff is very professional, friendly, and made me feel comfortable throughout the procedure. The clinic was clean, modern, and well-equipped. If I would say a finest one in the vicinity of Bahria, it won't be wrong. Above all its easily approachable. Highly recommend for anyone seeking excellent aesthetic care!

A

Ayesha Fahad

Verified Patient

I had an outstanding experience at Elysium Dental & Aesthetics Clinic in Bahria Town Phase 4, Rawalpindi. The clinic is immaculate, with a welcoming and professional environment that immediately puts you at ease. A special mention to Dr. Fatima, whose expertise and attention to detail are unparalleled. She provided exceptional care and made the entire process smooth and comfortable. Highly recommended!

M

Muhammad Ali

Verified Patient

Had a fantastic experience! The dental care was top-notch—quick, painless, and thorough. Dr. Fatima was friendly and the clinic itself is modern and clean. I also tried their aesthetic treatments, and the results were amazing. Highly recommend this clinic for both dental and beauty services!

S

Sarah Khan

Verified Patient

It was a wonderful experience. Very professional Doctor and Staff also equipped with the latest machinery. The atmosphere was also superb. I would definitely recommend it. Thumbs up!

R

Rabia Ahmed

Verified Patient